走路像跨栏,脚尖抬不起来,小腿外侧还阵阵麻木?千万别不当回事,这很可能是腓总神经“被卡住”发出的预警信号!
近日,中山大学孙逸仙纪念医院康复医学科马超教授和伍少玲教授团队凭借超声造影精准定位,联合超声引导下微创针刀松解与富血小板血浆(PRP)修复技术,成功帮助一位腓总神经卡压患者恢复肢体功能,重新找回自如步态。
踝伤埋下隐患,神经卡压致行走困境
三个月前,18岁的小彭(化名)意外扭伤左踝关节,当时未发现骨折,休息后疼痛肿胀缓解,便未再留意。然而近一个月来,他的左下肢逐渐出现乏力、足背麻木,最后连脚尖都无法勾起,正常走路受到了严重影响。为寻求专业治疗,小彭慕名来到中山大学孙逸仙纪念医院康复医学科就诊。
接诊后,马超教授和伍少玲教授团队为小彭做了全面的检查。查体发现,他的左小腿存在轻度萎缩,腓骨小头区域按压疼痛明显,左踝及拇趾背伸肌力只有0级(完全无法活动),足背和小腿外侧感觉明显减退。肌电图检查提示小彭的左侧腓总神经受损,卡压点精准定位在腓骨小头水平。结合其外伤史,团队最终诊断:小彭的腓总神经损伤,可能是踝关节外伤后,由于姿势代偿、局部组织水肿以及纤维组织增生,导致腓骨小头这个解剖狭窄部位的继发受压所致。
超声造影“精准侦察”,神经损伤无所遁形
为进一步明确病情,团队为小彭开展了超声造影联合评估。首先通过弹性成像检测,初步判断神经组织硬度变化,图像中红色区域提示局部组织硬度增高,与腓总神经卡压部位高度相关。高频超声检查也清晰发现,受压的腓总神经局部增粗、回声变低,卡压点近端形成了梭形的膨大。

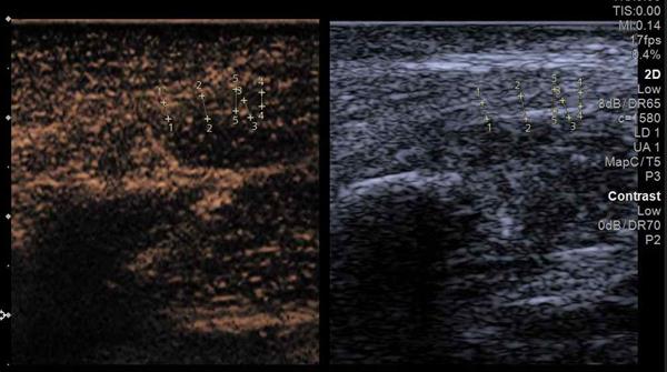
患者腓总神经超声扫查图;患者弹性检测区域图

声像图示:左侧腓总神经腓骨颈(FI)处变细,近端增粗,神经回声减低,神经外膜回声增强,神经束膜显示不清
在此基础上,团队进一步为小彭实施超声造影检查。通过静脉注射造影剂,实时动态追踪腓总神经周围的微循环灌注情况。造影图像显示,神经周围微泡信号迅速增多,卡压点近端出现了明显的高灌注表现,提示该区域存在活跃的炎性反应,并伴有新生血管形成。弹性成像和超声造影的联合应用,实现了组织力学特性与微循环功能状态的多维度评估,精准判断出神经卡压所处的病理阶段,为后续治疗提供了关键的依据。
超声造影进一步评估受压的腓总神经血流情况

超声造影图像,清晰显示卡压点/损伤区域的异常血流灌注(亮点)
三步微创疗法,全方位修复受损神经
结合小彭的病情特点,康复医学科制定了“超声引导下精准靶向治疗”方案,全程在可视化状态下操作,兼具创伤小、精度高的优势。
第一步:针刀松解 + 抗炎消肿。在超声实时监控下进行局部麻醉,用针刀精准松解卡压点的粘连组织和增厚筋膜,直接解除神经压迫;同时注射抗炎药物,快速减轻神经水肿和无菌性炎症。
第二步:电针刺激唤醒功能。在超声定位的神经关键位置上施加电针刺激,预防肌肉进一步萎缩,唤醒受损神经功能。
第三步:PRP 营养修复。抽取小彭自身静脉血,通过特殊技术制备出富含生长因子的富血小板血浆(PRP),在超声引导下精准注射到神经损伤的区域,为神经修复提供充足的营养支持,加速神经组织的再生和功能恢复。

超声造影准确定位后进行超声引导针刀松解,配合电针刺激以及PRP精准注射修复
经过三个月的系统治疗和康复训练,小彭的恢复效果超出预期:腓骨小头区域的按压疼痛完全消失,左踝背伸、拇背伸肌力从0级恢复到3级,可主动完成勾脚动作,踝关节背伸活动角度恢复到30°,麻木感也明显减轻,步态得到明显改善,如今的小彭已能正常行走,对未来完全康复充满信心。
专家提醒:警惕腓总神经卡压,早诊早治是关键
“腓总神经是坐骨神经的重要分支,就像下肢的“信号传输线”,负责膝关节以下、小腿外侧和足背的感觉与运动指令传递。”马超教授团队介绍,腓总神经走行有个天然的“薄弱点”——从膝盖后方的腘窝分出后,要绕着腓骨小头(膝盖外侧下方能摸到的骨性凸起)向前下方延伸。这个位置表浅且空间狭窄,很容易因为长期不当压迫、外伤后恢复不佳等原因,出现“卡压”问题。一旦卡压,神经的“信号传输”就会受阻,随之出现足下垂、感觉异常、肌肉萎缩等一系列典型症状,严重影响肢体功能。
传统诊断大多依靠症状观察、体格检查和肌电图,很难直观看到神经受压的具体位置、受压程度以及血供情况。而中山大学孙逸仙纪念医院康复医学科采用的“高频超声+超声造影”联合评估方式,成功实现了从“间接推断”到“直观可见”的跨越。高频超声就像一台“无创的放大镜”,能清晰呈现腓总神经的完整走行和受压细节,明确卡压诱因;超声造影则像“动态透视镜”,通过追踪造影剂灌注情况,判断神经血供状态,区分急性/亚急性与慢性严重卡压阶段,让治疗方案更贴合患者实际病情。
若您出现脚背麻木、抬脚困难、行走不稳等类似症状时,应尽早就诊。早期干预可有效避免神经持续受损,显著提升康复效果。中山大学孙逸仙纪念医院康复医学科始终坚守“以患者为中心”的原则,依托超声引导、超声造影等先进技术,结合微创松解与再生修复技术,构建起“精准定位-靶向干预-功能重建”的现代化全流程诊疗体系,致力于为更多神经卡压、神经损伤患者带来康复希望。
(图片由医院提供;通讯员:曹文杰、刘文琴、黄睿、房诗婷)


公众号
头条号
百家号