指导专家:中山大学孙逸仙纪念医院妇科肿瘤专科 林仲秋教授、张丙忠教授
“我还能看到孩子长大吗?”躺在病床上,30 岁的卵巢癌患者阿丽(化名)眼神里满是绝望。彼时,她腹腔内的肿瘤如“定时炸弹” 般疯狂生长,化疗无效、重要器官被侵犯,生命正快速走向倒计时。而如今,在中山大学孙逸仙纪念医院多学科医疗团队的极限挑战,阿丽已经顺利出院,重获新生。这背后,是一场与死神赛跑的较量,更是该院多学科、高精尖技术在复杂危重肿瘤诊疗领域精密合作的生动体现。
肿瘤复发,年轻妈妈生命告急
时间回溯到2025年1月,阿丽在外院接受卵巢癌全面分期手术,术后病理提示为(右侧附件)卵巢未成熟畸胎瘤(IC2 期,1级)。作为罕见的恶性卵巢生殖细胞肿瘤,此类肿瘤复发及转移率高。NCCN 2024卵巢癌指南显示,大部分患者术后需要化疗。遗憾的是,阿丽未及时接受规范治疗,为病情恶化埋下隐患。
2025 年5月,阿丽出现了长达一个多月的腹胀和腹痛,全腹部增强 CT显示盆腔、右上腹巨大肿块伴复发转移,盆腹腔大量积液,在化疗的期间肿块仍持续增大。几经波折,阿丽来到中山大学孙逸仙纪念医院妇科肿瘤专科张丙忠教授门诊,在医生的建议下,阿丽更换了化疗方案,但效果不佳,肿瘤标志物及影像学仍提示病情还在进一步恶化。
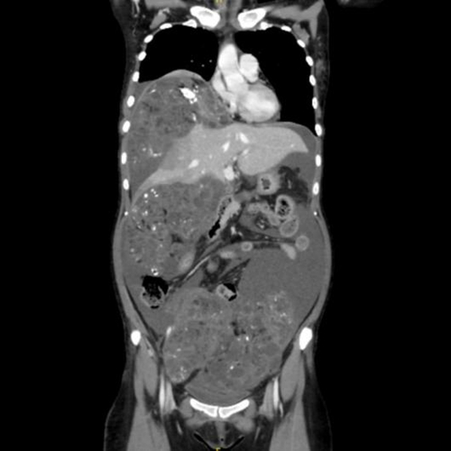
2025年8月18日,阿丽再次返院复诊,此时她已经形容枯槁:血红蛋白仅 62g/L(正常成年女性约 110-150g/L),伴水电解质紊乱、凝血异常、低白蛋白血症;影像学明确盆腹腔及腹膜后多发占位增大,肿瘤转移到了肝脏。饱受疾病折磨的阿丽此时已经无法平卧、呼吸急促、腹痛难忍,若再无破局之法,阿丽的生命将进入倒计时。
多学科协作,开展4小时极限手术
面对危急情况,张丙忠教授团队评估认为:阿丽年轻但肿瘤负荷重,化疗已无效,唯有手术可能带来生机,但肿瘤侵犯多器官血管、患者耐受能力差,手术风险极高。随即,医院马上开展“双线行动”:一方面通过输血、纠正电解质紊乱、营养支持创造手术条件;另一方面由医务科组织妇科肿瘤专科、肝胆外科、麻醉科等多学科MDT会诊,制定术前、术中、术后全流程预案。
2025 年 9月,手术在充分备血、ECMO 随时待命的前提下启动。麻醉科曹林教授团队采用保留自主呼吸的清醒气管插管技术避免风险,并以食道超声(TEE)及心排量监测技术实时调控循环呼吸,筑牢安全防线。
术中所见触目惊心:阿丽的盆腔积液多达3000ml,20×18×12cm巨大包块侵犯髂外静脉、压迫输尿管,膈肌下及肾隐窝深处均有15cm左右肿物包绕肝脏,肝S4b段转移瘤及多处腹膜转移结节。
面对肿物破入胸腔、黏连致脏器难辨、肝门血管阻断难等难题,张丙忠教授与叶义标副教授团队默契配合,历时4小时成功完成卵巢肿瘤细胞减灭术,切除多个巨大肿瘤。术后阿丽被转入 ICU 密切监护。
在医院多学科团队的悉心治疗与护理下,阿丽的病情逐步好转,顺利从ICU转回妇科肿瘤专科病房,并顺利康复出院。
“是你们给了我再陪孩子长大的机会!”出院时,阿丽紧握医护人员的手再三道谢。此次手术的成功,不仅挽救了年轻生命,更彰显了医院复杂危重肿瘤病例处理的硬实力。

胸腹盆CT检查提示阿丽的肿瘤在盆腹腔广泛转移,巨大包块,大量腹水

张丙忠教授及叶义标副教授为阿丽做手术
【专家简介】

林仲秋
中山大学孙逸仙纪念医院妇科肿瘤专科
二级教授、一级主任医师,博士研究生导师
中山大学首届名医,澳门医学专科学院院士
专业特长:宫颈癌、子宫内膜癌、卵巢癌、外阴癌等疾病的诊治
社会任职:中国抗癌协会宫颈癌专业委员会主任委员;中国医师协会整合医学分会妇产科专业委员会副主任委员;中国初级卫生保健基金会妇科专业委员会副主任委员;中国医药教育协会妇科肿瘤医学教育委员会副主任委员
学术成就:人卫出版社全国统编教材临床医学专业《妇产科学》第6,10版编委、第7-9版副主编,高教出版社成人教育《妇产科学》主编,《宫颈癌手术技巧图解》、《外阴癌2024林仲秋观点》、《逸仙妇瘤化疗手册》、《逸仙妇瘤诊治流程》、《逸仙妇瘤围手术期处理》、《宫颈腺癌诊治规范和病例精解》、《宫颈癌患者指导手册》等30多部医学专著主编或总主编。
出诊安排:中山大学孙逸仙纪念医院南院区(周四下午)

张丙忠
中山大学孙逸仙纪念医院妇科肿瘤专科主任
主任医师、博士、博士生导师
专业特长:宫颈癌、卵巢癌、子宫内膜癌等疾病的诊治
社会任职:广东省抗癌协会妇科肿瘤分会委员、秘书;广东省妇科肿瘤学组委员
学术成就:在国内外高水平期刊发表代表性论著Application of NGS molecular classification in the diagnosis of endometrial carcinoma: A supplement to traditional pathological diagnosis. Cancer Medicine、The correlation of homologous recombination deficiency status with and Olaparib efficacy in Chinese ovarian cancer patients、雷帕霉素逆转卵巢癌细胞系SKOV3/DDP顺铂耐药及其机制探讨等多篇。主持广东省自然基金面上项目、国家自然科学基金面上项目等课题。主编《妇科恶性肿瘤化疗手册》。
出诊安排:
中山大学孙逸仙纪念医院北院区(周一上午)
中山大学孙逸仙纪念医院南院区(周四上午)
(通讯员:黄睿、雷瑞霖)


公众号
头条号
百家号