-
-
李国林 副主任医师 中山大学附属第六医院 肝胆胰脾外科
摘要:这是一位70岁的老年女性,体检发现胆囊息肉多年,一直未予重视,2021年6月体检复查彩超提示息肉较前明显增大(约33mm×19mm),不排除胆囊癌可能,于2021年7月在我院按照恶性肿瘤的标准进行了微创手术治疗,术后恢复顺利。幸运的是,术后病理仅提示胆囊管状腺瘤,伴高级别上皮内瘤变,目前随访9月余情况稳定。
【基本信息】性别:女,年龄:70岁
【疾病类型】胆囊息肉
【就诊医院】中山大学附属第六医院
【就诊时间】2021年7月
【治疗方案】腹腔镜胆囊切除+肝部分切除+区域淋巴结清扫
【治疗周期】手术住院治疗7天
【治疗效果】及时切除病灶,避免了息肉癌变的发生
一、初次面诊
这位患者体检发现胆囊结石合并胆囊息肉多年,由于腹部没有任何的不适症状,一直未当一回事。2021年6月体检复查彩超提示息肉较前明显增大(约33mm×19mm),不排除胆囊癌可能,遂到我院门诊咨询。当时患者心理负担很大,对疾病的预后很悲观,我们认为胆囊癌的诊断还不能完全确立,建议积极通过微创进行手术治疗,再根据病理结果决定后续的治疗方案,经详细分析病情,权衡利弊,患者接受建议入院手术治疗。
二、治疗经过
患者住院后,我们给患者复查了肿瘤指标、肝功能指标等,未见异常,增强CT仍提示胆囊癌可能性大,并胆囊多发结石。我们科室讨论后认为根据目前的资料仍无法确定100%就是胆囊癌,但手术需要恶性肿瘤的标准进行。按计划行“腹腔镜胆囊切除+局部肝切除+区域淋巴结清扫”。术后恢复顺利,术后第5天即康复出院。


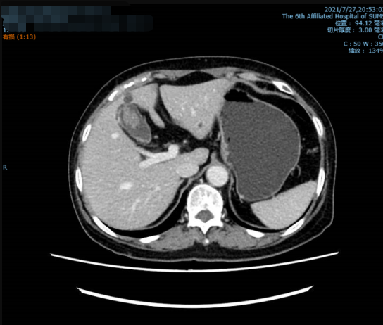
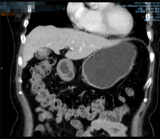
影像学检查提示息肉较前明显增大,伴胆囊多发结石
三、治疗效果
患者接受了微创手术,手术后没有出现任何的并发症,术后第5天顺利康复出院。幸运的是,术后病理仅提示胆囊管状腺瘤,伴高级别上皮内瘤变,术后无需化疗等后续处理,仅需要密切随访观察即可,目前术后随访9月余,情况稳定。患者生活正常,一般情况好,无诉明显不适。
四、注意事项
患者术前一直没有明显的腹部症状,术后可能会因为胆囊的切除出现上腹部不适的情况,但出现的概率不大。为使患者在围手术期能平稳过渡,我们一般建议患者术后第1天可进食流质饮食,一周内逐步恢复正常饮食,但是需在术后1月内尽量清淡,减少高脂肪、高蛋白食物的摄入,并建议口服利胆药物3个月,尽可能降低胆囊切除术后可能带来的不适,提示建议术后1月以及术后3月返院复查随诊。
五、个人感悟
很多老百姓对于肿瘤的手术仍心存疑虑,担心手术会加速肿瘤的进展或扩散,部分患者也担心切除胆囊后无法正常生活及饮食。因此我们专科医生需要加强相关医学知识的普及,及时消除百姓对于疾病认识的误区,与此同时,随着外科技术的进步以及各种诊疗手段的更新换代,目前肝胆胰外科的绝大部分手术都已经可以通过微创的手段实现,这在一定程度上也给患者带来更多的信心。
-

-
70岁老年女性患胆囊息肉多年,微创手术解除癌变危机
这是一位70岁的老年女性,体检发现胆囊息肉多年,一直未予重视,2021年6月体检复查彩超提示息肉较前明显增大(约33mm×19mm),不排除胆囊癌可能,于2021年7月在我院按照恶性肿瘤的标... 详细»
-

-
胆囊息肉手术是微创手术
做胆囊息肉手术的时候,一般选择微创的手术方式,称做腹腔镜下胆囊切除术,但是需要具备手术指征。胆囊息肉很多见又称胆囊隆起性病变。当出现下列任何一种情况的时候建议手术治疗。第一、胆囊息肉直径大于一厘米。第... 详细»
-

-
胆囊息肉微创手术后胃痛
胆囊息肉微创手术后胃痛的原因有多种。一、原因:1.手术刺激:胆囊息肉微创手术中,胆囊和其附近的组织会受到一定的牵拉和刺激,这种刺激可能会传导到胃部,引起疼痛感。2.胃酸分泌:术后,由于异物刺激或其他因... 详细»
-

-
胆囊息肉微创手术要多久
胆囊息肉微创手术的时长主要取决于患者的具体情况和医生的经验。一般来说,手术需要30分钟到1个小时不等。以下是胆囊息肉手术时间的主要原因:1.胆囊息肉大小:较小的息肉会比较容易切除,手术时间相对较短。大... 详细»
-

-
胆囊息肉手术是微创吗
患者胆囊出现息肉就不排除有癌变的可能性,这时候一般医院都会建议患者采取外科手术的治疗方法治疗胆囊息肉问题,手术方法有两种 一种是传统手术来治疗,费用低,但是创伤大,恢复慢,但显露清楚,安全性高。另一种... 详细»
















公众号
头条号
百家号